セラミッククラウン – 古くて合わない被せ物をきれいに修復(40代女性)
セラミッククラウン
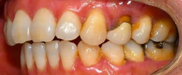
古い被せ物を除去し、きれいに整えたいとのご希望でご来院いただきました。
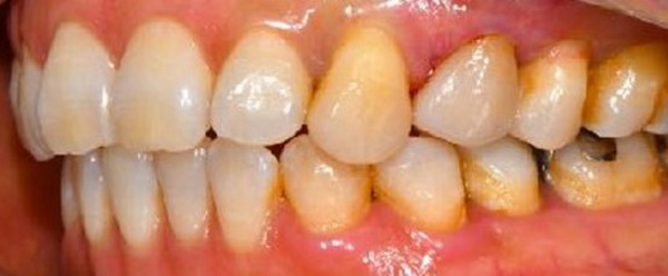
見た目も自然な仕上がりとなり、「食事も美味しくとれるようになった」とお喜びいただけました。
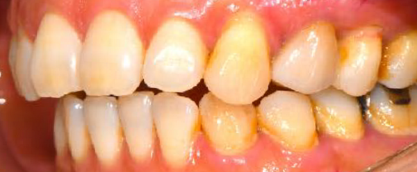
術後の経過とメインテナンスにも定期的にご通院いただいております。

治療前後の比較
治療前の歯の状態

セラミックセット直後の仕上がり

セットから1週間後の状態

- 主訴 古くて合っていない被せ物をきれいにしたい
- 治療名 セラミッククラウン
- 治療回数 2回
- 治療期間 2日
- 費用 セラミッククラウン(スタンダード) 110,000円
- メリット セラミックは天然歯に近い自然な色調と形態を再現でき、見た目に優れた仕上がりが可能です。また、変色しにくいため、美しさを長く保ちやすいという特長があります。
- リスクと副作用 自由診療のため保険適用外です。また、セラミックは強度に優れた素材ですが、過度な力が加わると、まれに欠けたり割れたりすることがあります。

