ホワイトニング – 自然に歯を白くしたい(20代女性)
オフィスホワイトニング
歯のクリーニング後にオフィスホワイトニングを行いました。
施術中にしみることもなく、「自然に白くなった」とお喜びいただけました。
その後の経過とメインテナンスのため、定期的にご来院いただいております。

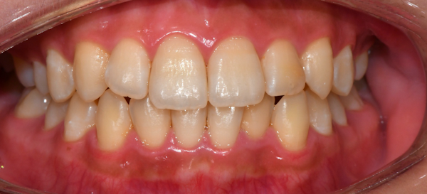
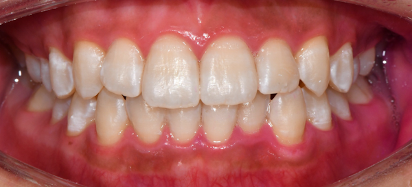
治療前後の比較
治療前

治療後

- 主訴 自然に歯を白くしたい
- 治療名 オフィスホワイトニング
- 治療回数 1回
- 治療期間 1日
- 費用 22,000円
- メリット 短時間でホワイトニング効果を実感することが可能です。医院で施術するため、安全性や薬剤の管理が徹底されています。
- リスクと副作用 自由診療のため保険適用外です。効果の感じ方や持続期間には個人差があります。


